دکتر عارف فاتحی
متخصص قلب و عروق و فوق تخصص آنژیوپلاستی عروق قلبی و محیطی
راه های تماس :
خانم ونوس امیدی ۰۹۱۰۱۰۷۳۶۷۷ دستیار دکتر و مشاوره آنژیوگرافی و آنژیوپلاستی
خانم آناهیتا معروفخان ۰۹۹۲۴۶۴۶۹۰۲ مدیر داخلی و نوبت دهی
شهرک غرب، بلوار فرحزادی، بیمارستان آتیه ۲، طبقه ۱۹، واحد A8


دکتر عارف فاتحی
متخصص قلب و عروق و فوق تخصص آنژیوپلاستی عروق قلبی و محیطی
راه های تماس :
خانم ونوس امیدی ۰۹۱۰۱۰۷۳۶۷۷ دستیار دکتر و مشاوره آنژیوگرافی و آنژیوپلاستی
خانم آناهیتا معروفخانی ۰۹۹۲۴۶۴۶۹۰۲ مدیر داخلی و نوبت دهی
خانم آزاده جهانی ۰۹۳۰۴۰۳۵۴۶۹ نوبت دهی
خدمات دکتر فاتحی
معرفی دکتر عارف فاتحی
متخصص قلب و فوق تخصص قلب عروق-فلوشیپ اینترونشنال کاردیولوژی عضو انجمن اینترونشن آمریکا Interventional Cardiologist
سوابق تحصیلی و شغلی:
- بورد تخصصی قلب و عروق سال ۱۳۹۲ فلوشیپ اینترونشن کاردیولوژی سال ۱۳۹۵
- عضو انجمن اینترونشن آمریکا از سال ۱۳۹۶
- جزو ۵ نفر برتر کنگره اینترونشن سال ۲۰۱۹ آمریکا
- انجام سالیانه بیش از ۲۰۰۰ پروسیجر آنژیوگرافی و آنژیوپلاستی پیچیده در بیمارستانهای آتیه و پارسیان تهران از سال ۱۳۹۶
مهارت تخصصی: فلوشیپ آنژیوگرافی و آنژیوپلاستی عروق کرونر قلبی و عروق محیطی فلوشیپ انسداد کامل عروق قلبی، عروق اندام تحتانی،عروق گردن و کلیه باز کردن عروق پای بیماران دیابتی انجام روش های کمپلکس عروقی و عمل قلب و جراحی قلب و استنت قلب

لحظات افتخاری
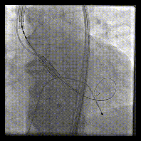
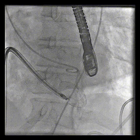
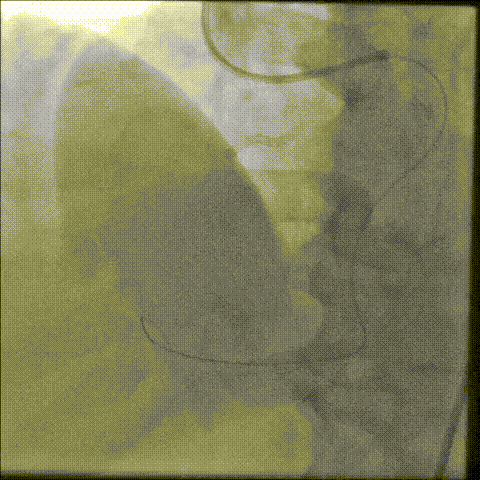
انژیوگرافی یک روش تصویربرداری پیشرفته است که به ما امکان میدهد وضعیت رگهای خونی قلب شما را با دقت بررسی کنیم و هرگونه انسداد یا تنگی را شناسایی کنیم. در صورت نیاز، با استفاده از انژیوپلاستی، که شامل باز کردن رگهای مسدود شده با استفاده از بالون و استنت میباشد، جریان خون به قلب شما را بهبود میبخشیم. با تکیه بر تجربه و تخصص من، اطمینان حاصل کنید که قلب شما در بهترین دستان قرار دارد. برای مشاوره و اطلاعات بیشتر، با من تماس بگیرید. تعویض دریچه قلب یک روش جراحی پیشرفته است که برای درمان دریچههای آسیبدیده یا نارسای قلب به کار میرود. این عمل به بهبود عملکرد قلب و افزایش کیفیت زندگی بیماران کمک میکند. دریچههای قلب نقش حیاتی در تنظیم جریان خون در داخل قلب و به سایر قسمتهای بدن دارند؛ بنابراین، هرگونه نقص یا آسیب در این دریچهها میتواند منجر به مشکلات جدی سلامتی شود.
رضایت بیماران
جوتیار عزیز از سلیمانیه عراق با پارگی وسیع شریان آئورت (دایسکشن از قوس آیورت به
چه زمان با اورژانس تماس بگیریم
آنژیوپلاستی با رسوب شدید کلسیم در عروقتوسط دکتر عارف فاتحی فوق تخصص آنژیوگرافی و آنژیوپلاستی(قلب
همکاران ما
معرفی تیم درمانی همراه با پزشک؛ نوبتدهی و مشاوره تخصصی قلب بهصورت مستقیم از طریق همکاران دکتر
خانم ونوس امیدی
دستیار دکتر عارف فاتحی و مشاور آنژیوگرافی
نام نام خانوادگی کدملی نوع بیمه در واتس آپ یا پیامک ارسال کنید. جهت مشاوره با شماره ۰۹۱۰۱۰۷۳۶۷۷ تماس بگیرید.

خانم آناهیتا معروفخانی
مدیر داخلی و نوبت دهی
وقت مورد نظر خود را در واتس آپ یا پیامک ارسال نمایید. جهت مشاوره با شماره ۰۹۹۲۴۶۴۶۹۰۲ تماس بگیرید.

همکاران ما
معرفی تیم درمانی همراه با پزشک؛ نوبتدهی و مشاوره تخصصی قلب بهصورت مستقیم از طریق همکاران دکتر

خانم ونوس امیدی
دستیار دکتر عارف فاتحی و مشاور آنژیوگرافی
نام نام خانوادگی کدملی نوع بیمه در واتس آپ یا پیامک ارسال کنید. جهت مشاوره با شماره ۰۹۱۰۱۰۷۳۶۷۷ تماس بگیرید.

خانم آناهیتا معروفخانی
مدیر داخلی و نوبت دهی
وقت مورد نظر خود را در واتس آپ یا پیامک ارسال نمایید. جهت مشاوره با شماره ۰۹۹۲۴۶۴۶۹۰۲ تماس بگیرید.
دسترسی سریع
مشاوره آنلاین
مشاوره آنلاین بیمارستان
برای دریافت مشاوره آنلاین، بر روی دکمه زیر کلیک کرده و از طریق واتساپ با مسئول مربوطه هماهنگ کنید.
ارتباط با دکتر
مشاهده راههای ارتباط با بیمارستان
برای مشاهده راه های ارتباط از جمله، شمارههای تماس، آدرس، ایمیل، فکس و … روی دکمه زیر کلیک کنید.
پرسش و پاسخ
مشاهده پرسشها و پاسخهای متداول
برای مشاهده پرسش های متداول عمومی و پرسشهای متداول بر روی دکمه زیر کلیک کنید.
مقالات و آموزش ها
بیش از ۱۰۰ مقاله آموزشی پزشکی
مشاهده آموزشها، مقالات و گفتگو با دکتر عارف فاتحی با موضوعهای مختلف در رابطه با درمان .






